【NuclearQuant】ER/PR樣本數位化分析
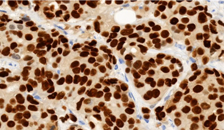
雌激素受體 (Estrogen Receptor;ER)及黃體素受體 (Progesterone receptor;PR)兩者都為賀爾蒙受體。乳癌組織經過癌細胞細胞核免疫組織化學染色後,可測定出ER或PR陽性或陰性的表現程度,來決定乳癌患者手術後是否輔予荷爾蒙療法。ER或PR常以癌細胞核染色的強弱和比率來呈現 (0,1+,2+,3+),而在QuantCenter分析軟體中就有NuclearQuant模組,它專為IHC染色樣本的細胞核做檢測和定量。除染色強度外,NuclearQuant還可以測量多種形態特徵,細胞核分類和最終會以強度和比例計算出得分。該模組已獲得IVD批准,可用於分析雌激素受體及黃體素受體染色的乳房組織樣本。
![11.png - [數位病理]ER/PR樣本數位化分析NuclearQuant](views/lin_2022/images/h_img.png)
![22.png - [數位病理]ER/PR樣本數位化分析NuclearQuant](views/lin_2022/images/h_img.png)
參考文獻:https://www.3dhistech.com/research/quantcenter/
